Laava -12 intrakraniaaliset aneurysms nestemäiset emboliset järjestelmät
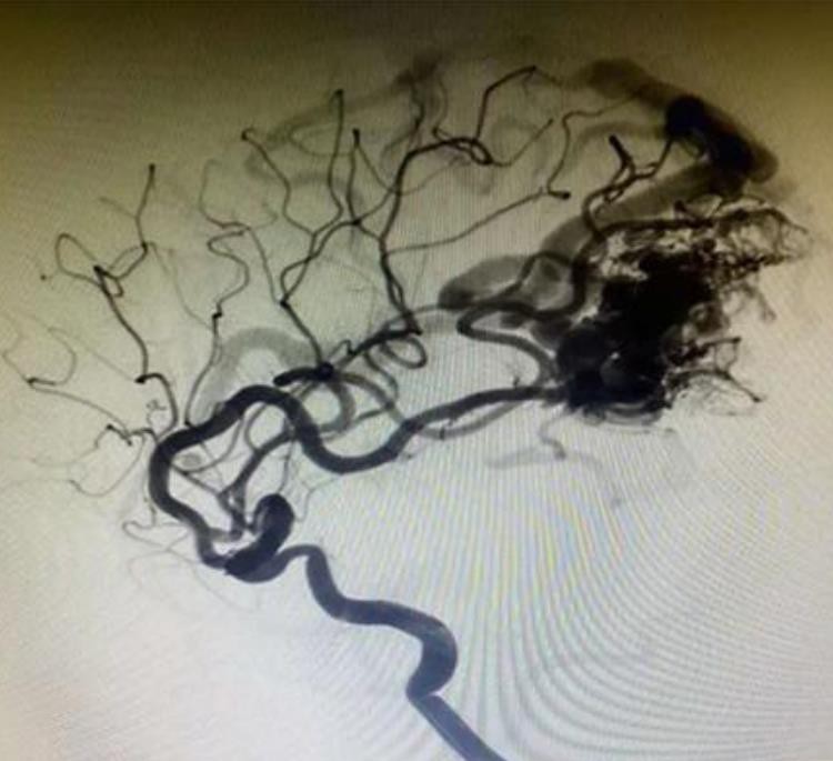
Kun laavaTMIntrakraniaaliset aneurysmit nestemäinen embolinen järjestelmä on kosketuksissa vereen tai minkä tahansa vesiliuoksen kanssa, sen pinta jähmettyy välittömästi ja muodostaa suojakalvon. Embolisen aineen DMSO laimennetaan ja hajautetaan veressä, niin että EVOH: n kääritty tantaalijauhe saostuu ja jähmettyy ulkopuolelta sisäpuolelle. Samanaikaisesti laava on hajautettu kauas injektiopaineen alla. Lopuksi se muodostaa sienen embolisen kehon embolisaatioasennossa.

LaavaTMAneurysman embolisointijärjestelmä on valmistettu kiinnittyvästä materiaalista, joten se on turvallisempi ja katetrin tarttuva.
Se on ainutlaatuinen matalan viskositeetin kaava, jossa on täydellinen mallivalikoima lava -12, lava -18 ja lava -34.
Sillä on parempi leviäminen ja tunkeutuminen. Ja se voi tunkeutua syvästi vaurioon ja saavuttaa distaaliseen astiaan.
Tantal -jauhe on hienompaa, hitaampaa saostumaa ja selkeämmin radiografiaa kilpailijoihin verrattuna.

Muistiinpanoja jstkKallonsisäinen aneurysmat nestemäinen embolinen järjestelmä
● Tarkkaile, onko Laavan nestemäinen embolinen aine, jos niin on, se on sulatettava ensin.
● Laita laava -nesteen embolinen aine vibraattoriin.
● Säädä vibraattori korkealle tasolle.
● Vähintään 20 minuuttia ravistamista varten
● kunnes sitä käytetään.
|
Tuotekoodi |
Viskositeetti |
Kuvaukset |
|
Laava -12 |
12 CST |
Alempi viskositeetti, nesteempi, distaalisille mikrovilleille; |
|
Laava -18 |
18 CST |
Vakiokaava, yleinen käyttö; |
|
Laava -34 |
34 CST |
Korkeampi viskositeetti korkean virtausaluksen kohdalla. |











